Restaurare dentară All-on-6
- Abordare individuală pentru fiecare pacient!
- Metode moderne de tratament (fără durere)
- Materiale de înaltă calitate
4.9
Recenzii Google
, bazate
pe 186 de recenzii.
pe 186 de recenzii.
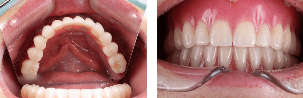
Despre pacient
Alma este o persoană foarte sinceră și bună, care a apelat la noi pentru ajutor în refacerea dinților. Are o energie incredibilă, așa că a fost ușor și simplu să lucrezi cu ea.
I-am instalat 6 implanturi în maxilarul inferior. Aceste implanturi sunt folosite pentru a susține protezele dentare fixe temporare sau permanente și pentru a menține integritatea structurală a maxilarului după pierderea dinților.
Pacientul are dinți sănătoși,frumoși!
Până
După

