Reabilitare dentară, funcțională și estetică
- Abordare individuală pentru fiecare pacient!
- Metode moderne de tratament (fără durere)
- Materiale de înaltă calitate
4.9
Recenzii Google
, bazate
pe 186 de recenzii.
pe 186 de recenzii.
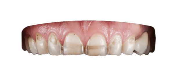
Despre pacient
Maria a visat mereu la un zâmbet orbitor. Și visul ei s-a împlinit la clinica DentaSI!
După procedurile stomatologice, funcționalitatea dinților ei s-a îmbunătățit semnificativ, iar încrederea cu care zâmbește acum ne face fericiți!
Până
După

