Albirea dinților cu fluoroză, instalarea unei coroane pe un dinte
- Abordare individuală pentru fiecare pacient!
- Metode moderne de tratament (fără durere)
- Materiale de înaltă calitate
4.9
Recenzii Google
, bazate
pe 186 de recenzii.
pe 186 de recenzii.
Despre pacient
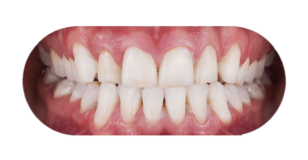
Tabloul clinic al fluorozei dentare este centrat în jurul aspectului dinților, fără prezența durerii sau a altor simptome, care creează un grad ridicat de disconfort. Din acest motiv, fluoroza nu este considerată o patologie reală, ci mai degrabă un defect estetic.
Demian a apelat la clinica DentaSI pentru a-și trata și îmbunătăți aspectul dinților.
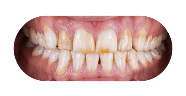
Demian a ales acest tip de tratament pentru că avea:
Decolorare sau hiperpigmentare (pete galben-maronii) pe smalț.
Smalț cu aspect liber
Până
După

